🌿 Un remède traditionnel chinois contre l'infertilité testé en laboratoire: ça fonctionne !

Publié par Adrien,
Source: Reproductive and Developmental Medicine
Autres langues: EN, DE, ES, PT
Restez toujours informé: suivez-nous sur Google Actualités (icone ☆)

L'infertilité féminine reste une difficulté importante pour de nombreux couples, avec des causes parfois difficiles à identifier et à traiter. Un revêtement utérin insuffisamment épais est l'une de ces causes, car il peut empêcher l'embryon de s'implanter, ce qui mène à des échecs de grossesse répétés.

L'endomètre, la muqueuse qui tapisse l'intérieur de l'utérus, subit des changements cycliques pour préparer l'accueil d'un embryon. Lorsque son épaisseur est inférieure à 7 millimètres, on parle d'endomètre mince, une condition observée chez environ 2,5 % des femmes infertiles. Ce problème peut résulter d'interventions utérines comme les curetages, d'infections ou de déséquilibres hormonaux, qui réduisent l'afflux sanguin et entravent la croissance tissulaire. Les traitements actuels, principalement hormonaux, offrent une efficacité limitée, laissant de nombreuses patientes sans solution durable.


Image d'illustration Pixabay

Les pilules Jinfeng sont une préparation de médecine traditionnelle chinoise, historiquement employée dans les cours impériales pour soutenir la santé reproductive. Cette formule combine des herbes comme l'épimède, la citronnelle, la mèrewort, la cannelle, ainsi que des ingrédients d'origine animale, visant à réchauffer les reins, tonifier le Yang, nourrir le foie et la rate, réguler les vaisseaux "Chong" et "Ren", et favoriser la circulation sanguine. Selon les textes anciens, ces composants agissent ensemble pour équilibrer les fonctions corporelles.

Une recherche parue dans la revue Reproductive and Developmental Medicine a évalué l'effet des pilules Jinfeng sur des rats femelles présentant un endomètre mince induit par l'application d'éthanol. Les animaux ont été répartis en plusieurs groupes: un groupe témoin, un groupe modèle sans traitement, un groupe sous œstradiol valérate (un traitement hormonal standard), et un groupe recevant les pilules Jinfeng. Les scientifiques ont utilisé des méthodes de pointe comme la coloration histologique, l'ELISA, l'immunofluorescence et la qPCR pour analyser les modifications structurelles, les biomarqueurs sériques, ainsi que l'activité des gènes et protéines liées à la réceptivité utérine.

Les résultats ont montré que les rats traités avec les pilules Jinfeng présentaient un endomètre plus épais, avec une architecture ondulante rétablie, une densité glandulaire accrue et une meilleure vascularisation. Les taux de facteur de croissance endothélial vasculaire (VEGF), une protéine importante pour la formation des vaisseaux sanguins, étaient beaucoup plus élevés dans ce groupe. Ces améliorations étaient comparables à celles observées avec l'œstradiol, indiquant une efficacité encourageante de la formule traditionnelle.


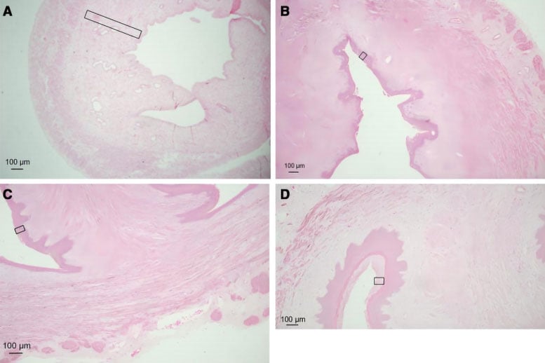
Changements morphologiques dans chaque groupe (×100). Les boîtes indiquent l'épaisseur de l'endomètre. (A) Morphologie et épaisseur dans le groupe témoin. (B) Le groupe modèle montre un endomètre notablement plus mince avec désorganisation structurelle. (C) Morphologie et épaisseur dans le groupe œstrogène. (D) Le groupe pilules Jinfeng présente un endomètre plus épais avec un motif ondulant prononcé.
Crédit: Gao, Hong; Cheng, Ling; Yan, Xiao-Hong; Zhang, Heng-Yuan; Wu, Rong-Feng; Li, You-Zhu

Sur le plan moléculaire, les pilules Jinfeng paraissent stimuler l'expression de gènes et de protéines qui participent à la réparation tissulaire et à l'angiogenèse. Cela confère un fondement scientifique aux descriptions traditionnelles, selon lesquelles la formule équilibre l'énergie vitale et améliore la circulation sanguine. Les auteurs de l'étude ont relevé que ces mécanismes pourraient éclairer comment la préparation améliore l'environnement utérin pour l'implantation embryonnaire, en favorisant la régénération vasculaire et la réparation de l'endomètre.

Ces découvertes élargissent les possibilités pour des approches intégrant médecine traditionnelle et technologies reproductives actuelles. Bien que reposant sur des modèles animaux, elles donnent un espoir pour la mise au point de thérapies plus efficaces contre l'infertilité liée à l'endomètre mince. Les chercheurs souhaitent que des essais cliniques chez l'humain viennent confirmer ces données, offrant ainsi davantage d'options pour les patientes.
Page générée en 0.486 seconde(s) - site hébergé chez Contabo
Ce site fait l'objet d'une déclaration à la CNIL sous le numéro de dossier 1037632
A propos - Informations légales - Signaler un contenu
Version anglaise | Version allemande | Version espagnole | Version portugaise